
Patient Details
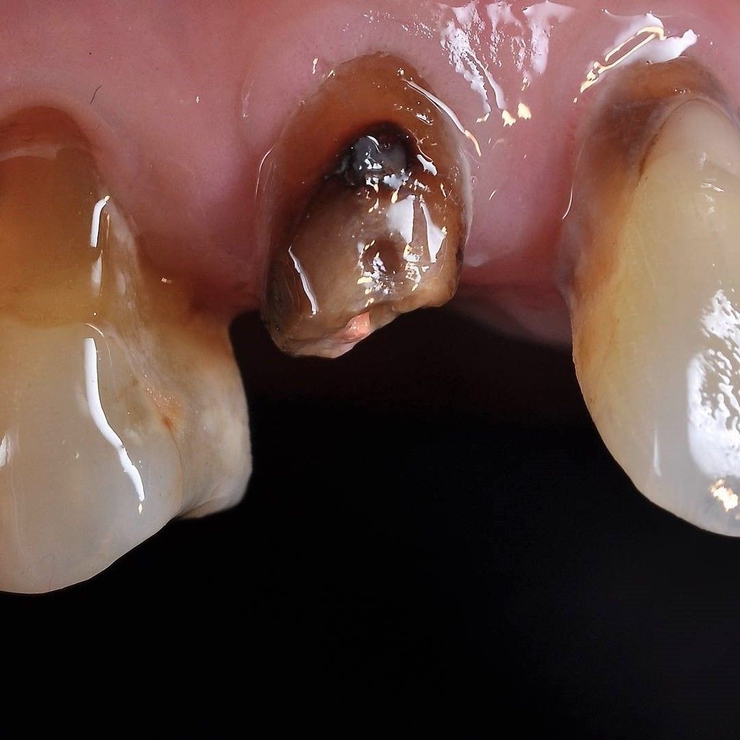
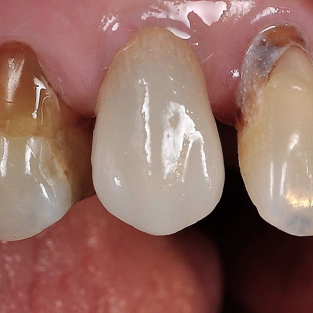
Front Teeth Repair of Grinding Fractures

PLACE YOUR CONFIDENCE IN OUR DOCTORS TO GIVE YOUR CONFIDENCE A BOOST. You want to be heard, and you want to know that your concerns are being addressed. Dr. Chau prides himself on getting to know you, why you’re visiting Eden Smile Design, and the results you would like to see as conservatively as possible. You will be involved every step of the way, from the initial diagnosis to treatment plans that fit within your budget, all the way to how you’re feeling sitting in the chair. And once you finally have the smile you’ve always wanted, you’ll wonder why you didn’t come to Eden Smile Design sooner.
There was an error processing your form. Please try again later.
We'll get back to you as soon as possible.
949-644-9211
Mon to Thurs 7:30 AM - 4 PM
Fri and Sat By Appointment
Sitemap | Privacy Policy | Accessibility | Notice of Open Payment Database